FieldStrength MRI articles
compressed sense winterthur masthead image

Faster1 MRI throughout the whole body with Compressed SENSE

We are always interested in engaging with you.

Let us know how we can help.

1
Select your area of interest
2
Contact details

    FieldStrength MRI magazine

    User experiences - January 2018

    Share this article:

    Compressed SENSE allows up to 50% acceleration1 of individual scans with high image quality in Kantonsspital Winterthur


    As soon as the Compressed SENSE technology became available to the MRI team at Kantonsspital Winterthur (Switzerland), the site started applying the acceleration possibilities for their MRI scans of the brain, spine and joints as well as pelvis and abdomen. Using Compressed SENSE appeared a simple yet powerful way to accelerate MRI scanning for different contrast types and sequences, in 2D as well as 3D. The significantly reduced scan times convinced the team to plan for adjusting all their ExamCards, with the objective to shorten patient timeslots and then actually plan for increasing their number of MRI patients per day. This is of strategic importance to help them generate revenue when reimbursements go down.

    Dr Sartoretti Winterthur

    Dr. Sartoretti MD is Head of Neuroradiology at the Institute of Radiology and Nuclear Medicine, Kantonsspital Winterthur in Winterthur, Switzerland. She specializes in diagnostic neuroradiology. Her interests are dedicated stroke imaging, intra- and extracranial vessel wall imaging, brain tumor imaging, perfusion weighted imaging, diffusion weighted imaging, MR spectroscopy.

    “Our goal is to reduce scan time, but we want the same image quality as before.”

    How fast can we scan without losing image quality?


    The new Philips Compressed SENSE technology is a powerful acceleration technique for a wide variety of MRI sequences in a broad range of anatomies. The method combines compressed sensing and sensitivity encoding as in SENSE into one, more powerful, acceleration technique called Compressed SENSE.

    Kantonsspital Winterthur (KSW) was one of the first 10 sites in the world to receive Compressed SENSE on their Ingenia 1.5T and Achieva 3.0T MRI scanners. Neuroradiologist Dr. Sabine Sartoretti and radiologist Dr. Rene Patzwahl have been using it since September 2017 and are very satisfied with the results.

    “As Compressed SENSE works in virtually all anatomical areas and with many different scan techniques and contrast types, it has the potential to help us reduce the scan time per patient. We can, for example, accelerate a routine brain protocol with 6 sequences (DWI, transverse T2, transverse T1 IR, SWIp, 3D FLAIR, 3D T1 TFE with gadolinium) by 22% by accelerating three sequences (SWIp, 3D FLAIR, 3D T1 TFE with gadolinium) between 30 and 40%. That shorter scanning time will then benefit our patients and in addition, it will allow us to scan more patients.”

    In order to get there, Compressed SENSE has to be incorporated into KSW’s customized set of ExamCards. “Our goal is to reduce scan time, but we want the same image quality as before, because most of our ExamCards have been meticulously optimized to our preferences.”

    “Our approach for the last weeks has been to add an additional sequence with Compressed SENSE to the original exam, and then compare the images. In this approach we have initially been using a Compressed SENSE (CS) factor as recommended by Philips, then followed by applying either higher or a lower CS factors. Repeating this in a next patient and for the different sequences, and carefully looking at the images afterwards, helps us decide what the best Compressed SENSE factor is for us.”

    Accelerating sequences one by one results in shorter exams


    Dr. Sartoretti remembers how Compressed SENSE immediately impressed her in the first scans. “Our first sequence with Compressed SENSE was a 3D FLAIR in the brain on the Ingenia 1.5T, where we used a Compressed SENSE factor of 8.2. Then we tried a 3D TSE mDIXON post-contrast sequence with a CS factor of 7. In both cases the quality was really good.”

    In the neuroradiology area, Dr. Sartoretti initially focused on using Compressed SENSE in 3D imaging. “We use it now for 3D FLAIR, 3D DIR, 3D T1 TFE, 3D mDIXON T1 TFE, 3D TOF, 3D PCA and also for SWIp and 3D T1 Black Blood. We decided to first concentrate on 3D because of the large effect with 3D sequences, but of course we also want to try it with 2D sequences.”

    Examples that Dr. Sartoretti mentions to particularly stand out are the venography with 3D PC that is 50% faster, and also the 3D T1 TFE without contrast, where speed was increased by 50%. Their TOF sequences were accelerated by 40%.

    “Our aim for the spine is to use Compressed SENSE to help us make the switch to using 3D SpineVIEW. In lumbar spine, for example, we can reduce scan time for 3D T2W SpineVIEW by 27% to 4:46 minutes, voxel size 0.8 x 0.8 x 1 mm."

    “In the end, we would like to just perform a 3D T2W, and 3D T1W, and a STIR T2W for cervical and lumbar spine imaging, and then do secondary reconstructions. That’s why we need high resolution for the 3D sequences, and combining with Compressed SENSE then helps to reduce scan time. In this way, replacing the 2D sequences with 3D sequences is much better for the patient, because we can reduce the time of the scan. Another advantage is that if sometimes a scan is not done properly, we have more freedom to do reconstructions afterwards with the 3D sequences and still make a confident diagnosis from the exam.”

    “Our aim for the spine is to replace all 2D sequences with 3D sequences.”

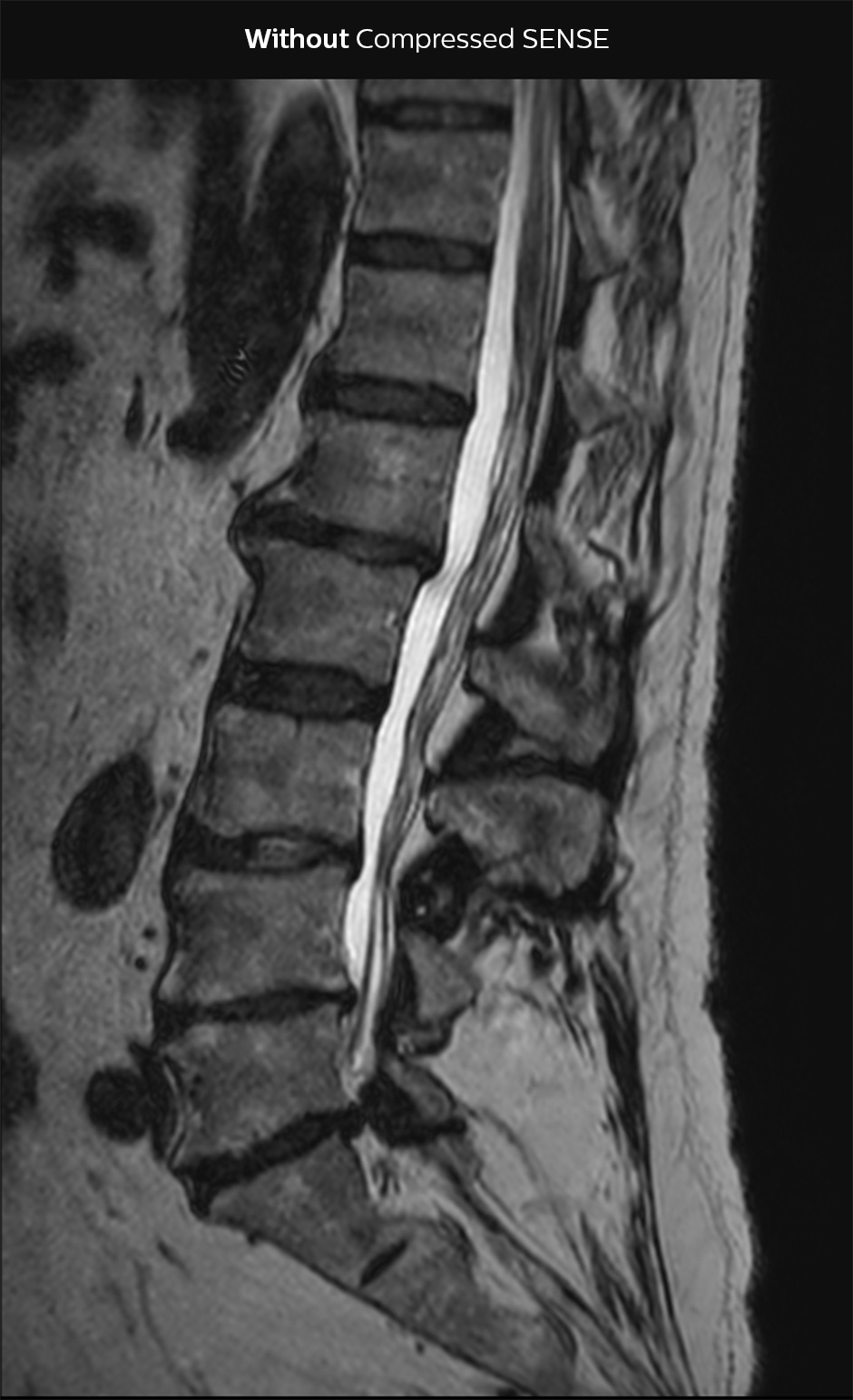
    Accelerating lumbar spine


    In this example Compressed SENSE has a 26% shorter scan time and improved spatial resolution simultaneously.

    3D T2 SpineVIEW lumbar spine WITHOUT Compressed SENSE

    3D T2 SpineVIEW, scan time 6:29 min, voxel size 1 x 1 x 1.4 mm

    3D T2 SpineVIEW lumbar spine Compressed SENSE factor7

    3D T2 SpineVIEW, scan time: 4:46 min, voxel size 0.8 x 0.8 x 1 mm

    Shorter scan time in brain


    Compressed SENSE allows 28% shorter scan time with the same spatial resolution.

    3D FLAIR brain WITHOUT Compressed SENSE

    3D FLAIR, scan time 5:02 min, voxel size 1.1 x 1.1 x 1.1 mm, Ingenia 1.5T.

    3D FLAIR brain Compressed SENSE factor8

    3D FLAIR, scan time 3:36 min, voxel size 1.1 x 1.1 x 1.1 mm, Ingenia 1.5T.

    “We can maybe accelerate our examinations by 20-40%, and that’s very good for the patients.”

    Significant acceleration1 in MSK, breast, abdomen, liver


    The KSW team also started implementing Compressed SENSE in ankle, elbow, knee and wrist MRI exams, for replacing the 2D PD fat sat with 3D PD fat sat. So far, results look good: it’s possible to obtain a good acquisition time with a high resolution.

    The team envisions to finally end up with musculoskeletal ExamCards consisting of three sequences, for example 3D PD-weighted fat sat – which is the most important sequence in MSK – plus a T1 and a STIR sequence. Or alternatively two T1 sequences and the 3D sequence.

    At KSW, Compressed SENSE is also applied to reduce scan time for breast imaging. 2D STIR is now faster and silicon-only sequences are 30% faster, for example. The post-contrast 3D T1 THRIVE can be accelerated by approximately 40% and Compressed SENSE is currently being added to the dynamic T1 sequence, where the goal is to get higher resolution in the same scan time.

    There are also some initial results for the abdomen, liver, and pancreas. The goal for MRCP is to accelerate this sequence by 50%. So far, only a few cases were done with accelerated dynamic T1 imaging, shorter breath holds and shorter in-phase and out-phase sequences. When more data is available, the team will carefully compare images and define their preferred balance. So far, there seems to good potential for decreasing breath hold duration to approximately 10-12 seconds.

    Comparing 2D with 3D using Compressed SENSE


    A good acquisition time with high resolution is obtained when moving from three 2D acquisitions in three planes to one 3D acquisition with Compressed SENSE. In this example, Compressed SENSE with 3D VIEW PD SPAIR is 50% faster than three separate 2D scans and has improved spatial resolution.

    Without Compressed SENSE
    Three separate 2D PD scans in three orientations

    Scan time 2:55 + 3:37 + 3:51 = 10:23 min.

    Voxel size 0.55 x 0.65 x 3 mm

    PD FS SPIR knee WITHOUT Compressed SENSE sag
    Compressed sense C3
    PD-FS-SPAIR-knee-without-Compressed-SENSE-cor

    With Compressed SENSE factor 10
    3D VIEW PD SPAIR high resolution knee

    Scan time 5:03 min.

    Voxel size 0.6 x 0.6 x 0.6 mm

    3DVIEW PD SPAIR knee Compressed SENSE factor10 sag
    PD mDIXON water knee WITHOUT Compressed SENSE tra
    3DVIEW PD SPAIR knee Compressed SENSE factor10 mprcor

    Accelerating 2D breast MRI


    Compressed SENSE allows 29% shorter scan time with similar spatial resolution.

    2D STIR breast WITHOUT Compressed SENSE

    2D STIR, scan time 3:39 min, voxel size 1 x 1.25 x 3 mm.

    2D STIR breast Compressed SENSE factor3

    2D STIR, scan time 2:36 min, voxel size 1 x 1.26 x 3 mm.

    “A typical brain exam in our patient group takes 24 minutes, which we now have reduced to 19 minutes.”

    What is impact on exam time, on patients, on diagnostic reading


    Dr. Sartoretti recognizes two main effects of Compressed SENSE on the practice. “First, we can reduce the time needed per patient. By adding it to multiple sequences in an exam, we can maybe accelerate our examinations by 20-40%, which is considerably faster, and that’s very good for the patients. Another effect is that we are replacing our 2D sequences with 3D sequences, which will be very helpful for the diagnostic reading of the sequences, especially in the musculoskeletal area.”

    In some cases, Dr. Sartoretti also sees the benefit of keeping the acquisition time the same, and increase the amount of detail in images. “In nerve imaging, for example of plexus and in peripheral neurography, more detail is helpful to see the tiny nerves. We also like to add Compressed SENSE to the 3D T1 Black Blood sequence, for obtaining higher resolution when looking at the detailed anatomy of vessel walls and to visualize pathology of these tiny vessels in the brain.” The lumbar spine example above also illustrates an improvement of spatial resolution with use of Compressed SENSE.

    Dr. Sartoretti’s intention is to ultimately include Compressed SENSE in all ExamCards. “We modify a few ExamCards every day, but it will take some time to adapt them all, as we have between 200 and 300 different ExamCards.”

    Aiming for substantial reduction of overall scanning time per patient


    Dr. Sartoretti’s believes that implementation of Compressed SENSE will help them to substantially accelerate complete MRI examinations. “For brain examinations, we would like to gain about 10 minutes per examination. We’re working on this currently. For example, for a standard brain examination without contrast we now use a 30 minutes timeslot, and we would like to bring that down to about 20 minutes. And of course the timeslot also includes the time needed to position the patient on the table.”

    “Similarly, for the spinal cord and for the lumbar spine, we now have 30 minutes timeslots, which we would also like to reduce to 20 minutes, in total, including the patient positioning and scanning time. We would like to accelerate the scanning itself by 40%, so that scanning uses considerably less time than it took previously. My MSK colleague also told me that he would like to reduce the scanning time in joints to 15 minutes.”

    Scanning more patients to help relieve economic pressure


    Dr. Sartoretti is adopting Compressed SENSE at a rapid pace as she sees possibilities for helping the department deal with economic pressure and workflow challenges. “In 2018 reimbursements will be reduced here in Switzerland, so we get paid less per patient. At the same time, examinations are getting more complicated, so we need more time for the reading. And of course, we continually need funds to always have state-of-theart machines with good software, good sequences and good coils to perform well. To compensate, we need to attract more patients for break even. And that’s where we believe that Compressed SENSE can help us, as faster scanning can allow us to do more patients per day.”

    “Right now, we scan between 40 and 45 patients per day on our three MRI scanners. We are relatively slow, because we see many older patients, patients from intensive care and patients with severe medical conditions, so that we need quite much time just to position these patients. Our aim is to use Compressed SENSE to help us increase to scanning around 50 to 55 patients per day.”

    Dr. Sartoretti also aims to slightly change their MRI patient mix. “Because complicated examinations for inpatients require more time than MR examinations of most outpatients – for scanning as well as for reading – we would like to become more attractive for outpatients. Scanning outpatients is easier for us, because they often need less time for positioning, they cooperate better, and the diagnostic reading is often easier because of an often less complicated diagnosis. In our partner institute, scanning mostly outpatients, they do 16 to 20 patients per day on one MRI machine.”

    “So we would like to have a better mix of in- and outpatients, which we expect to help us perform our workload in better timing. Currently, our waiting list for outpatients is too long, typically more than one week. If we could add more timeslots, so that we can offer outpatients a timeslot the next day, for example, we believe we could also get more outpatients from referring physicians.”

    Faster1 scans in virtually any area of the body with Compressed SENSE


    Faster MRI scanning without losing image quality is key to making MRI faster and cheaper and thus accessible to more patients. Philips was the first to introduce commercially available parallel imaging, called SENSE, and continuous innovations have resulted in the powerful dS SENSE and in MultiBand SENSE offering great flexibility in neuroscience. And now, with Compressed SENSE, additional acceleration can be applied in virtually any area of the body.

    “Compressed SENSE offers opportunities to significantly reduce examination times. Fast scanning benefits patients, as they don’t need to spend much time in the scanner. For us, the faster scanning can help increase patient throughput. And of course, seeing more tiny details, for instance with 3D, helps us in making confident diagnoses,” concludes Dr. Sartoretti.

    “We would like to have a mix of in- and outpatients, which will help us with the timing of our workload.”

    1Compared to scans without Compressed SENSE
    Results from case studies are not predictive of results in other cases. Results in other cases may vary.

    Up to 50% faster MR exams,

    so you can spend your time wisely¹

    Up to 50% faster MR exams,

    so you can spend your time wisely¹

    Subscribe to FieldStrength

     

    Our periodic FieldStrength MRI newsletter provides you articles on latest trends and insights, MRI best practices, clinical cases, application tips and more. Subscribe now to receive our free FieldStrength MRI newsletter via e-mail.

    Stay in touch with Philips MRI

    Fieldstrength fs magazine

    Stay in touch with Philips MRI

    You are about to visit a Philips global content page

    Continue

    You are about to visit a Philips global content page

    Continue

    Our site can best be viewed with the latest version of Microsoft Edge, Google Chrome or Firefox.