Need more information on the new MR solutions? Request more information here and we will get in touch with you soon.
Live panel discussion; Break diagnostic boundaries with Speed, Comfort Watch a group of radiology experts from different fields discussing their day-to-day pain points and how they utilize Philips’ latest innovations to address these challenges in their facilities, sharing some of their best practices and vision into the future of radiology.
At Philips MR, we are committed to partnering with you to deliver a confident diagnosis the first time, while also helping to future-proof your radiology department. We do this by leveraging our deep insights into the people behind the image. This has culminated in our

The new Philips Ingenia Ambition offers cutting-edge MR imaging techniques to help you excel clinically every day. Based on its new, revolutionary fully sealed BlueSeal magnet, the solution lets you experience more productive1 helium-free MR operations.

Speed up your MRI examinations with Philips Compressed SENSE. This breakthrough acceleration technique shortens single MRI sequences and full MRI examinations.

The new Philips Ingenia Elition solution offers cutting-edge MR imaging techniques, while setting new directions for clinical research in 3.0T imaging based on new gradient- and RF designs.

The new Philips Ingenia Prodiva 1.5T offers a highly intuitive approach to fast, high quality scans across a wide range of advanced applications and proves its value from day one.

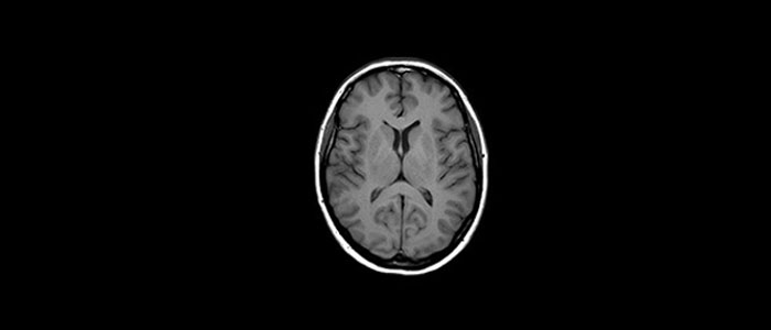
In a society where neurological disorders represent a heavy burden, Philips is committed to provide superb diagnostic clarity and treatment guidance for all patients.
Discover how you can transition your radiology department towards helium - free operations

Want to know more about the new MR solutions? Fill in the contact form to request more information.
This content is not intended for
You are about to visit a Philips global content page
Continue