Reduce complications in needle guided procedures
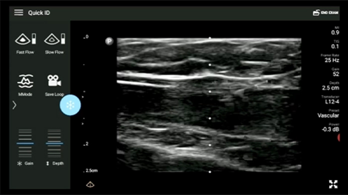
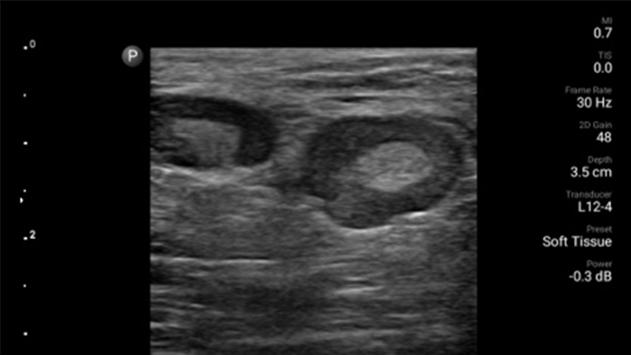
Lumify handheld ultrasound for anesthesiology helps you clearly visualize border definition with your needle placement, surrounding nerves, vessels and fascial planes.

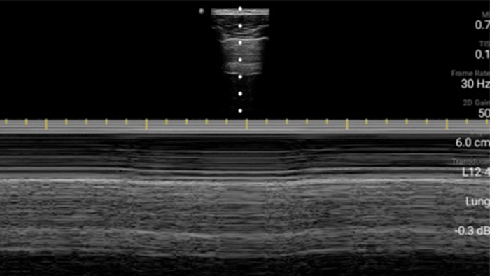
Use Lumify for airway and pulmonary assessment
Lumify POCUS solutions can help you detect the endotracheal tube within the trachea, assist in emergent cricothyrotomy procedures, diagnose pleural effusion and interstitial alveolar diseases.

Bring ultrasound bedside
Using Lumify at your patients bedside can be a valuable tool to determine the status of stomach contents and can lower the risk of pulmonary aspiration. Together, this can reduce the risk of anesthesia complications.




Lumify helps you clearly visualize needle placement, surrounding nerves, vessels and fascial planes.













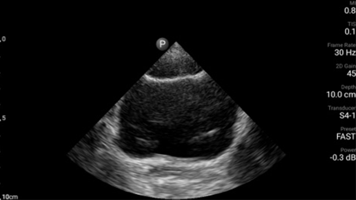
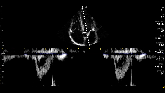
• 4 to 1 MHz extended operating frequency range • 2D, color Doppler, M-mode, advanced XRES and multivariate harmonic imaging • High-resolution imaging for abdominal and cardiac applications: Cardiac, OB/GYN, Lung, Abdomen and FAST imaging preset optimizations


From revealing the subtle details of an image to uncovering enriched tissue definition from multiple angles, Lumify can help you make real-time decisions with more confidence from assessment through recovery.

Case study
A patient with dyspnea

Tutorial
Pre-hospital point of care cardiac ultrasound: pulmonary embolism

Short lecture
Basics of lung ultrasound
You are about to visit a Philips global content page
Continue