The application is designed to examine and quantify different types of vascular lesions from CT and MR, providing modes of inspection, labeling of different vascular lesions, and customizable volume rendering.
Take advantage of a comprehensive set of multi-modality advanced visualisation vascular applications to examine and quantify vascular lesions. Accelerate workflows with customised views, and enhance workflows for specific findings creation.
Bring advanced diagnostic imaging closer by integrating your Allura / Azurion Interventional Suite with the IntelliSpace Portal, which automatically retrieves patient data from Portal for your scheduled patients.
One application for the assessment of selected anatomies
CT Acute MultiFunctional Review (AMFR) provides dedicated tools for findings detection, visualization and assessment of vessels, bones and spine anatomies in 2D and 3D CT images.

Benefits
Endovascular stent placement
CT Advanced Vessel Analysis (AVA) Stent Planning includes multiple preset and user-defined options to gain detailed information for use in stent planning.

Benefits
IQon Spectral CT Functionality
Benefits

IQon Spectral CT Functionality
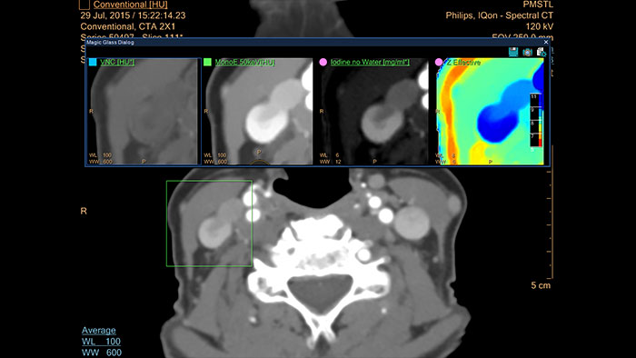
IQon Spectral CT is the only scanner to offer CT Spectral Light Magic Glass and CT Spectral Magic Glass on PACS, helping radiologists review and analyze multiple layers of spectral data at once, including on their PACS.

Benefits
* Standard with the CT Spectral option on IntelliSpace Portal.
IQon Spectral CT* Functionality
The spectral viewer is optimized for analysis of spectral data sets from the IQon Spectral CT Scanner. Obtain a comprehensive overview of each patient quickly and easily, quantify quickly, and assist in diagnosis. It is designed to accommodate general spectral viewing needs with additional tools to assist in CT images analysis.

Benefits
* IQon CT reconstruction provides a single DICOM entity containing sufficient information for retrospective analysis - Spectral Base Image (SBI). SBI contains all the spectrum of spectral results with no need for additional reconstruction or post-processing. Spectral applications are creating different spectral results from SBI.
Streamlined modeling workflow
Allows to view volumetric images of anatomical structures, perform segmentation, edit and combine segmented elements (tissues) into a 3D model.

Benefits
*3D models are not intended for diagnostic use.
Comprehensive vascular analysis planning
Designed to examine and quantify different types of vascular lesions from CTA and MRA scans. It accommodates different modes of inspection, allows labeling different vascular lesions, and helps navigating through multiple findings. Demonstrated to reduce the post-processing time by 50% when compared to manual Head & Neck CT angiography (CTA) analysis*.

Benefits
* Ardley N et al. Efficacy of a new post processing workflow for CTA head and neck. ECR 2013 / C-1760.
Visualizing and quantifying blood flow dynamics
Supports visualization and quantification of blood flow dynamics by assisting in review of MR phase-contrast data, on vascular region of interest segmented manually, or semi-automatically. Qflow analysis is integrated as part of MR Cardiac Suite allowing flow and functional analysis in one suite with combined reporting.

Benefits
Contrast arterial structures with surrounding bone and soft tissue to assist in identification of vascular abnormalities
The XA Vascular Processing – DSA (in MMV) expands your workflow by allowing you to read and post-process iXR images virtually anywhere. Obtain images of arteries in various parts of the body using tools to perform standard and run subtractions, pixel shifting, and landmarking. This application also provides post-processing tools to edit and optimize the DSA XA data created in the interventional room.

Benefits
Comprehensive reviewing tool for multiple modalities, all in a single viewer
The Multi Modality Viewer (MMV) now supports viewing and post processing of angiography images and series. Review and perform analysis of angiographic imaging alongside other modalities for a comprehensive review of the patient case. Perform vascular processing of images (Digital Subtraction Angiography) – subtraction, pixel shifting and land marking. Include key images into the generic MMV report. Prior to the intervention, relevant diagnostic (MR and or CT) data can be bookmarked and automatically retrieved upon patient selection in the Allura, or the Azurion suites.

Benefits
You are about to visit a Philips global content page
Continue