
Scan as usual A single scan for fast, low-dose conventional and spectral data for every patient, every time.

Always available 100% spectral, 100% of the time for results that are always available on-demand, even retrospectively.

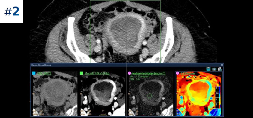
Reduced follow-up exams Improved tissue characterization and visualization may reduce the need for follow-up scanning for sub-optimal exams and incidental findings.

Across patient types Benefits a wide range of patient types from pediatric to bariatric.
Be among the first to see what's new in spectral CT. Sign up to watch a special announcement event as Philips executive leaders and renowned guest speakers share the latest in spectral-detector technology.

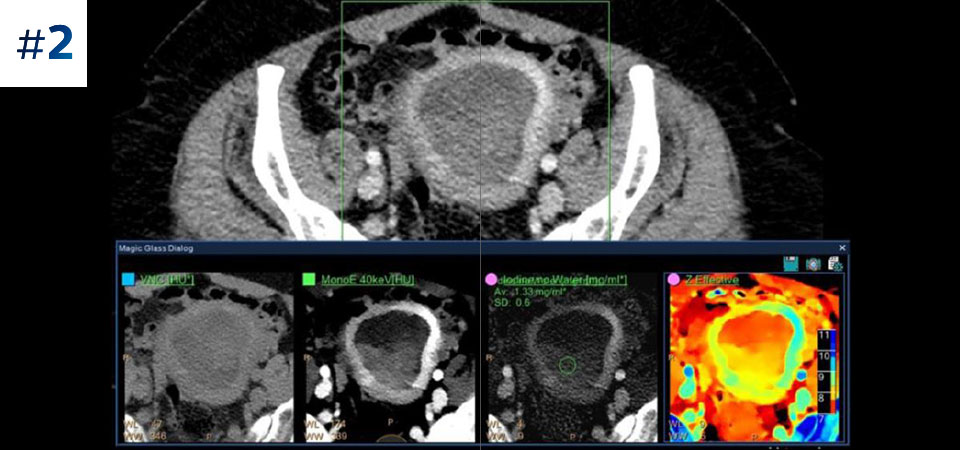
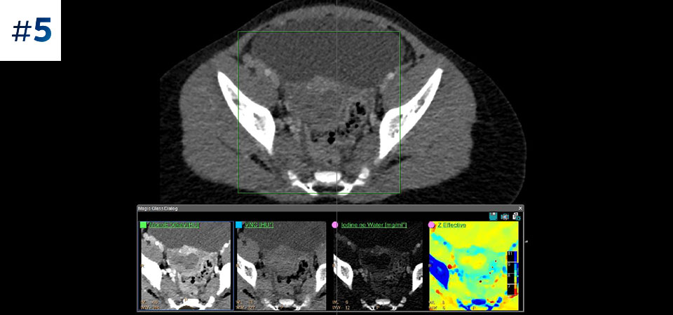
Go beyond conventional CT. See how layers of spectral-detector results can enhance your diagnostic confidence.
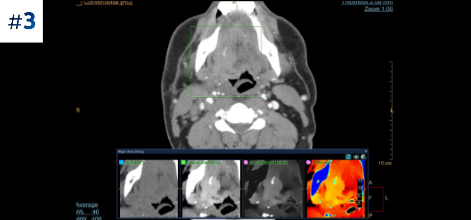
Neck mass
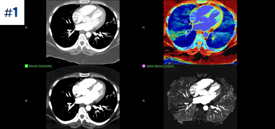
Our Philips spectral-detector CT allows us to acquire conventional and spectral data in one scan, with no change in our current workflow.
Dr. Charles White
Professor of Pulmonary and Critical Care Medicine, University of Maryland School of Medicine
Exciting things are happening in spectral-detector CT this year. Sign up for updates and be the first to know about upcoming news or get in touch with a sales representative to learn more.

See the difference between spectral-detector CT and conventional CT

Learn about the advantages of spectral-detector CT

Re-experience the Philips 2020 spectral CT virtual summit

Discover all CT solutions
You are about to visit a Philips global content page
Continue