Conventional CT scans often produce ambiguous or inaccurate data that can require additional testing. To provide better patient experiences* and improve clinical outcomes while achieving the economic objectives of your organization, there’s a clear advantage to making the right diagnosis in the first scan.
Spectral Magic Glass Spectral Magic Glass enables simultaneous viewing of up to five different spectral results.
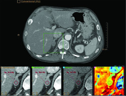
Patient, who was previously diagnosed with hepatic cell carcinoma and liver cirrhosis, underwent ablation to treat the hepatic lesions. Ablation effectiveness following treatment was a concern. The following images were taken on the Philips IQon Spectral CT. The conventional CT image shows what could be a suspicious area in the liver. However, further enhancement was needed to better visualize the possible lesion. Normally, this patient would require additional scanning, such as MR or ultrasound.
Spectral Monoenergetic (MonoE) Image This 45 keV MonoE image reveals visualization of a suspected lesion. An additional scan is not needed to confirm.
Z Effective Spectral Results In the Z Effective spectral image, you can visualize iodine uptake, adding another layer of information. Because spectral information is always on with the IQon Spectral CT, this additional information is available whenever a deeper analysis is needed.
The Philips IQon Spectral CT helps you extend the benefits of spectral data to all patients, providing answers for even the most challenging scenarios. Being able to achieve diagnostic confidence, in even the most problematic situation, can help you provide better patient experiences* and improve clinical care.
Dr. Suhny Abbara Chief of Cardiothoracic Imaging at UT Southwestern Medical Center discusses the exciting capabilities of the IQon Spectral CT scanner.
Patient admitted to the Emergency Department complaining of shortness of breath was scanned on the IQon Spectral CT.
Conventional CT images showed a small pulmonary embolism in the right lower lung.
To confirm, clinician was able to utilize spectral images such as Iodine Overlay and Z effective, which are available every time a patient is scanned on the IQon.
The Philips IQon Spectral CT and the Spectral Diagnostic Suite easily and fully integrate into your current workflow.
Magic Glass on PACS app Magic Glass on PACS app offers a simple interface that integrates into your current workflow with little to no training.
Staying ahead of healthcare’s top trends and latest developments. We can tailor your updates to the topics you care about, ensuring you are the first to hear about upcoming events and solutions.


Now, every technician can acquire spectral data with every scan—data that can be viewed by physicians and care teams across your organization to help determine the best path for patient care.
Spectral Diagnostic Suite A suite of advanced visualization applications for the Philips IQon Spectral CT, the Spectral Diagnostic Suite delivers advanced
spectral and clinical application tools, including Spectral Magic Glass and the Spectral Magic Glass on PACS app.

Spectral Magic Glass In addition to conventional CT images, Philips Spectral Magic Glass enables on-demand simultaneous viewing and quick comparison of up to five different spectral results for a region of interest, including Monoenergetic, Iodine Density, Virtual Non-contrast, Iodine no Water, and Z Effective maps.

Spectral Magic Glass on PACS app The Spectral Magic Glass on PACS app conveniently launches directly in the user’s PACS viewing setup. Spectral Magic Glass on PACS is only available with the IQon Spectral CT and offers a simple interface that seamlessly integrates into your organization’s current workflow with little or no training.
Low-dose solutions delivering on quality measure With the Philips IQon Spectral CT, you’ll have the full use of dose management tools—like iterative model reconstruction (IMR) and 3D dose modulation—allowing you to experience all the benefits of spectral data at the same dose levels as a conventional CT scan.
The IQon Spectral CT adds spectral resolution to traditional CT scanning through a new dual-layer spectral detector. With a Yttrium- based scintillator, the NanoPanel prism detector identifies photons of high energy and low energy simultaneously, allowing you to not only view anatomy, but also use color to characterize the material content of critical structures.
Spectral Results Anytime, Anywhere. Single DICOM entity contains sufficient information for retrospective analysis.
The IQon Spectral CT generates high light output and reduces image noise at low energy. See how advances in material science and nanotechnology enhance spectral detector capabilities.
Please contact us for more information
about the IQon Spectral CT scanner.

*The Centers for Medicare & Medicaid Services requires United States hospitals that treat Medicare patients to participate in the national Hospital Consumer Assessment of Healthcare Providers and Systems (HCAHPS) survey, a standardized tool that measures patients’ experience of hospital care. Results collected for public reporting are available at medicare.gov/hospitalcompare.
You are about to visit a Philips global content page
Continue