When it comes to acute stroke, everyone deserves the best care. Today, more patients can benefit from mechanical thrombectomy due to updated guidelines, which widen the time window for endovascular treatment.1

Today more patients can benefit from mechanical thrombectomy due to updated guidelines, which widen the time to window for endovascular treatment.1 Direct to Angio suite workflows allow for comprehensive stroke diagnoses to be performed directly in the neuro angio suite. This provides valuable, timesaving support for critical patients in acute need of mechanical thrombectomy therapy. At Philips, our goal is to help stroke centers shorten door-to-reperfusion times for ischemic stroke by optimizing workflow and protocols, inspired by established STEMI re-perfusion treatment.2

Time to reperfusion is fundamental in reducing morbidity and mortality in acute stroke.4,5,6 In patients presenting directly to an endovascular-capable center, emphasis has now been placed on fast door-to-imaging times and fast imaging-to-groin access times. Watch the video to see how this works.
Discover what clinical experts are saying about the Direct to angio suite approach
An interview with interventional neurologists about the importance of the direct to angio approach, and the challenges they face.
Dr. Marc Ribó explains how Direct to Angio suite workflows shorten door-to-reperfusion times for their ischemic stroke patients.
This symposium session took place during the ESMINT 2021.
Dr. Vitor Mendes Pereira explains how 3D imaging in the angio suite influences faster treatment of ELVOs.
This symposium session took place during the LINNC Paris, 2021.

Philips Neuro suite offers a flexible portfolio of integrated technologies, services and neuro accessories that puts you in firm control when treating an acute stroke patient.
Our innovative Neuro suite is delivering advancements in interventional neuroradiology, such as our industry-leading SmartCT, which provides excellent CBCT imaging quality to assist interventional neuroradiologists with diagnosis and treatment.

Effective stroke management connects the dots between caregivers at critical moments in stroke care pathways. We're with you, focused on making a life-saving difference for your patients.

Improving the stroke care continuum together.

Philips is evaluating in clinical research the optimization of clinically relevant parameters such as increased acquisition speed, improved contrast resolution and optimized artifact correction.7
Avoiding motion artifacts in restless patients, enabling enhanced depiction of bleeds and avoiding cone-beam artifacts -especially in the posterior fossa- are important elements of the ongoing research.8

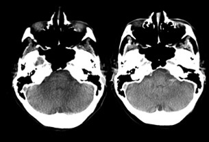
Hemorrhage detection. Comparison between optimized XperCT and Multi Detector CT.9
Stroke care and treatment is a major challenge for healthcare providers across the globe. In many cases, particularly for patients who have experienced an acute stroke, ‘Time is Brain’ – meaning that the right treatment at the right time could potentially lead to enhanced patient outcomes.

Stroke care and treatment is a major challenge for healthcare providers across the globe. In many cases, particularly for patients who have experienced an acute stroke, ‘Time is Brain’ – meaning that the right treatment at the right time could potentially lead to enhanced patient outcomes.

new stroke cases annually


leading cause of death


people worldwide are stroke survivors

Atul Gupta, MD, Chief Medical Officer and Interventional Radiologist, Philips Image Guided Therapy, discusses the latest innovations in diagnosing strokes.

Philips has a depth of perspective across image-guided therapy and the way we treat stroke patients’ clinical processes. This expertise can help break the boundaries standing in the way of organizing stroke care around the patient.
Clinical studies: acquisition protocols, imaging quality and impact on workflow
We are currently conducting clinical studies at a number of leading stroke sites to evaluate new acquisition protocols and assess imaging quality (artifact reduction and image reconstruction) of cone beam CT (CBCT) scans in patients with neurovascular diseases, and assess impact on the workflow compared to the standard of care.11
Multicenter randomized study: WE-TRUST
In addition to these ongoing studies, Philips will evaluate the potential of these new solutions in the context of a direct to angio suite (DTAS) workflow. A multicenter randomized study Workflow optimization to Reduce Time to endovascular Reperfusion for Ultra-fast Stroke Treatment
1 Mokin M, Ansari SA, McTaggart RA, Society of NeuroInterventional Surgery, et al. Indications for thrombectomy in acute ischemic stroke from emergent large vessel occlusion (ELVO): report of the SNIS Standards and Guidelines Committee, Journal of NeuroInterventional Surgery 2019;11:215-220. 2 Borja I, Stefan J, Stefan A, et al., ESC Scientific Document Group, 2017 ESC Guidelines for the management of acute myocardial infarction in patients presenting with ST-segment elevation. European Heart Journal, Volume 39, Issue 2, 07 January 2018, Pages 119–177, www.academic.oup.com/eurheartj/article/39/2/119/4095042 3 This presentation contains the first clinical results and experience of using investigational XperCT technology. This XperCT technology is considered work in progress and is not CE marked and not available for sale. 4 Mendez B. et al. 2018. Direct Transfer to Angio-Suite to Reduce Workflow Times and Increase Favorable Clinical Outcome. DOI: 10.1161/STROKEAHA.118.021989 5 Saver J et al., 2016 Sep 27;316(12):1279-88. doi: 10.1001/jama.2016.13647. 6 Jadhav AP, et al. Stroke. 2017;48:1884-1889. 7 Image courtesy of Dr. Vitor Mendes Pereira; Toronto Western Hospital, Toronto, CAN. 8 Image courtesy of Dr. Vitor Mendes Pereira; Toronto Western Hospital, Toronto, CAN. 9 Image courtesy of Dr. Ajay Wakhloo and Dr. Ajit Puri; UMass Medical Center, Worcester, MA, USA. Contains the first clinical results and experience of using investigational XperCT technology. This XperCT technology is considered work in progress and is not CE marked and not available for sale. 10 World Stroke Organization / American Heart Association 11 The product is a work in progress, is not yet CE-marked and is not available for sale. Not for distribution in the USA.
You are about to visit a Philips global content page
Continue