Precise Position
The Al-enabled camera helps reduce positioning time up to 23% and increases user to user consistency up to 70%2

Connect with our specialists to find out.
A low-dose exam with enhanced workflow for results that are fast, consistent and proven. AI powers this dramatic advance, with intelligent automation at every step for you and your patients.1

Increase consistency by up to 70% 2
Positioning consistency from user to user is significantly improved

Reduce positioning time up to 23% 2 Automatic patient positioning improves patient flow while helping manage radiation dose and image noise

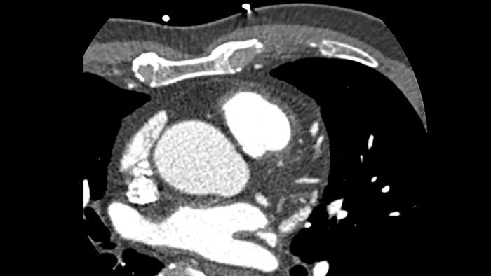
Overcome cardiac imaging challenges
Motion-free cardiac imaging improves image quality at high heart rates


Increase consistency by up to 70% 2
Positioning consistency from user to user is significantly improved

Reduce positioning time up to 23% 2 Automatic patient positioning improves patient flow while helping manage radiation dose and image noise

Overcome cardiac imaging challenges
Motion-free cardiac imaging improves image quality at high heart rates

Enhance diagnostic confidence Simultaneously reduces dose and improves image quality to meet your clinical goals

Reduce reading time Advanced reconstruction reduces reading time with enhanced diagnostic confidence

Speed interventional procedures Quick and precise needle planning, guidance and tracking


Enhance diagnostic confidence Simultaneously reduces dose and improves image quality to meet your clinical goals

Reduce reading time Advanced reconstruction reduces reading time with enhanced diagnostic confidence

Speed interventional procedures Quick and precise needle planning, guidance and tracking
See how CT Smart Workflow assists your team at every step

The Al-enabled camera helps reduce positioning time up to 23% and increases user to user consistency up to 70%2

You are about to visit a Philips global content page
ContinueAl provides advances that allow for a low-dose image with greater diagnostic confidence

You are about to visit a Philips global content page
ContinueThe AI-enabled image reconstruciton means that all reference protocols can be reconstructed in < 1 minute

You are about to visit a Philips global content page
ContinueAutomatic needle tracking for reduced interventional procedure times

You are about to visit a Philips global content page
ContinueAdvanced motion-compensation reconstruction for motion-free cardiac scanning with improved coronary analysis

You are about to visit a Philips global content page
ContinueClick on the "i" icon to learn more about each CT Smart Workflow advance
See how Smart Workflow assists your team with smarter workflow at every step

The Al-enabled camera helps reduce positioning time up to 23% and increases user to user consistency up to 70%2

You are about to visit a Philips global content page
ContinueAl provides advances that allow for a low-dose image with greater diagnostic confidence

You are about to visit a Philips global content page
ContinueAutomatic needle tracking for reduced interventional procedure times

You are about to visit a Philips global content page
ContinueThe AI-enabled image reconstruciton means that all reference protocols can be reconstructed in < 1 minute

You are about to visit a Philips global content page
ContinueAdvanced motion-compensation reconstruction for motion-free cardiac scanning with improved coronary analysis

You are about to visit a Philips global content page
ContinueClick on the "i" icon to learn more about each Smart Workflow advance
Experience the image quality that can be achieved with simultaneously up to 80% less dose, up to 85% less noise and up to 60% improved low-contrast detectability.3 Precise Image has a familiar image appearance that closely resembles filtered back projection (FBP). You’ll also see best-in-class low-contrast resolution.
Slide the bar to compare images without and with Precise Image.
View a short 1-minute demo CT Smart Workflow on Philips Incisive CT improves workflow start to finish. It embeds AI into tools you use every day so you can remove common obstacles to CT performance, clearing the way for precision in dose, speed and image quality for you and your patients. See how.

Have more time? Watch a 10-minute demo video of Incisive CT with CT Smart Workflow

1 According to the definition of AI from the EU High-Level Expert Group.
2 Based on Philips in-house assessment by five clinical experts, comparing manual versus Precise Positioning in 40 clinical cases using a human body phantom.
3 Lower image noise, improved low-contrast detectability, and/or dose reduction were tested using reference body protocols. All metrics were tested on phantoms. Low-contrast detectability tests were performed using 1.0 mm slices, and tested on the MITA CT IQ Phantom (CCT183, The Phantom Laboratory), using an auto tool “CHO” (Channelized Hotelling Observer). Data on file.
This content is not intended for a US audience.
You are about to visit a Philips global content page
Continue