xMATRIX technology allows you to see more clearly, explore more fully and resolve more thoroughly, making exams faster and easier for both clinicians and patients.
Philips xMATRIX is our most leading-edge, versatile ultrasound transducer technology available today. xMATRIX technology enables quick and easy volume acquisition, supports multiple interrogation capabilities, and provides views not possible with 2D imaging – and all with remarkable image quality. Confidently assess anatomy and function, easily identify abnormalities, and fully appreciate structural relationships in the 3D space.

With the touch of a button, xMATRIX technology offers all modes in a single transducer: 2D, 3D/4D, Live 3D Echo, Live xPlane, Live 3D Zoom, Live 3D Full Volume, iRotate, Live MPR, MPR, M-mode, Doppler, color Doppler, and CPA. No need to suspend acquisition to switch transducers. You can view ultrasound xMATRIX volume data on your PACs the same as you view CT and MR images. Once the data is acquired, the system captures the X, Y, Z, or iSlice MPR cineloops at the push of a button and sends them to your PACS. View, slice and interrogate at any time to suit your schedule.

xMATRIX transducers support a wide range of clinical applications, including adult and pediatric cardiac exams; abdominal, vascular, obstetrical and gynecological exams; and cardiac and abdominal interventional procedures. Philips xMATRIX is available on the EPIQ 7 and CX50 xMATRIX systems.

xMATRIX transducers raise the bar of scanning performance. They harness the power of 150 computer boards, with fully-sampled elements ranging from 2,500 to over 9,000 for 360-degree focusing and steering. And when combined with Philips nSIGHT and PureWave crystal technologies, they are even more powerful.
Live volume imaging with Philips xMATRIX Allows the acquisition and rendering of full volume data at true real-time frame rates with exceptional isovoxel resolution.
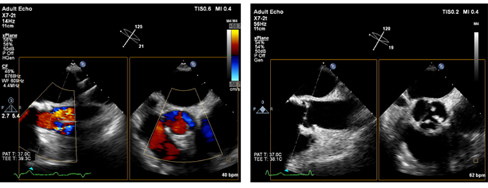
Live xPlane imaging in xMATRIX ultrasound Creates two full-resolution planes simultaneously, allowing you to capture twice as much clinical information in the same amount of time as conventional 2D imaging.
Ergonomic design for scanning comfort While xMATRIX transducers are powerhouses of performance, they’re also easy to use. Their ergonomic design provides a slim, easy grip, for scanning comfort throughout the day.

During your cardiac exams, live xPlane imaging allows you to acquire two planes simultaneously from the same heartbeat, capturing critical information quickly and confidently.


iRotate is an xMATRIX innovation that eases image quality and workflow. Rather than manually rotating the transducer and searching for a window that isn’t obscured by ribs, iRotate electronically rotates to obtain the view within the acoustical window. With the X5-1 transducer, iRotate allows you to complete an entire stress echo protocol, including acquisition of 4-chamber, 2-chamber and 3-chamber 2D images, from the same window following peak exertion without moving the transducer. This decreases wrist strain while also overcoming foreshortening of enlarged left ventricles in heart failure patients.
xMATRIX transducers support the full range of modes for your entire patient population:
One Probe Solution for 2D and 3D Echo – clinical benefits and workflow improvements Andreas Franke, Head of Cardiology and Internal Intensive Care, Klinikum Siloah, Hannover, Germany
Live cast study: Atrial Septal Defect Diagnosis John D Carroll, Director of Cardiac and Vascular Center and Interventional Cardiology, University of Colorado, Aurora, Colorado
You are about to visit a Philips global content page
Continue