MaxVue
Remarkable visualisation
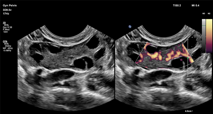
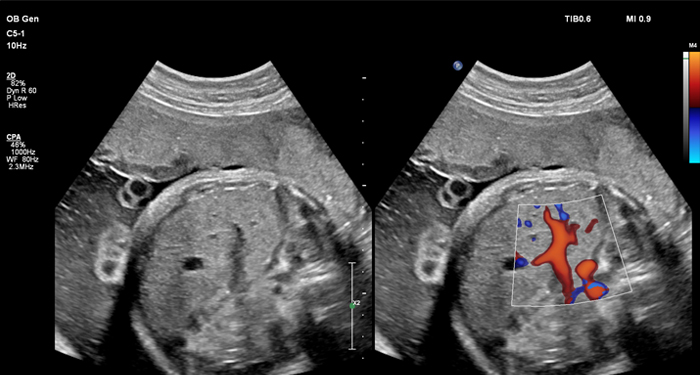
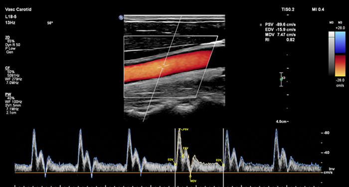
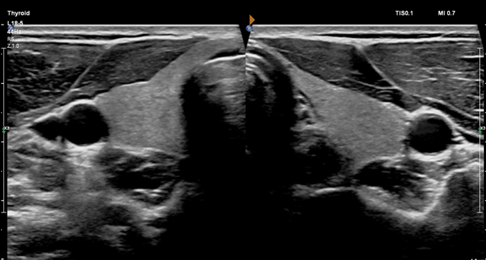
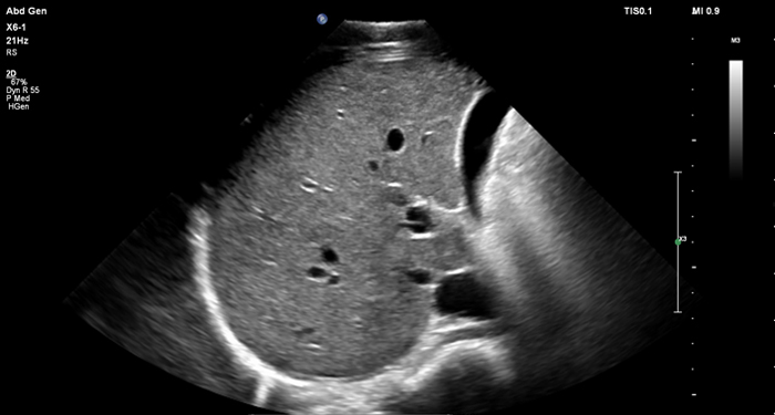
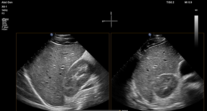
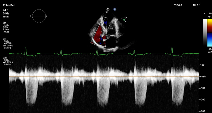
At the touch of a button, the new MaxVue high-definition display brings extraordinary visualisation of anatomy with 1,179,648 additional image pixels compared to a standard 4:3 display format mode. MaxVue enhances ultrasound viewing during interventional procedures and provides 38% more viewing area to optimise the display of dual, side/side, biplane, and scrolling imaging modes.


MaxVue offers a 38% greater viewing area.











MaxVue offers high definition display at the touch of a button.




MaxVue offers 1,179,648 additional image pixels compared to a standard 4:3 display format mode.




MaxVue offers a 38% greater viewing area.






You are about to visit a Philips global content page
Continue