dStream
dstream mh new2


Digital
broadband

architecture

We are always interested in engaging with you.

Let us know how we can help.

1
Select your area of interest
2
Contact details

dStream technology, digital broadband architecture, digitizes the signal right in the coil.

High quality images and remarkable speed are possible with our dStream digital broadband architecture. Enjoy up to 40% more SNR* and enhanced throughput with channel-independent RF technology that makes upgrades easy.

 

dStream digitizes the signal right in the coil, eliminating noise influences typical of analog pathways, to capture the MR signal without pre-distortion or compression. A fiber-optic connection from the coil to the image reconstructor enables lossless broadband data transmission.

quote mark

The dStream technology has been all the difference in the world.

The dStream technology has been
all the difference in the world.
The dStream technology has been
all the difference in the world.
The dStream technology has been
all the difference in the world.

Chip Truwit, MD, Chief of radiology, Hennepin County
Medical Center, Minnesota, USA

ingenia big6

How it works

 

The dStream architecture uses a DirectDigital RF sampling method for digitization: the MRI signal is sampled directly, without conversion to DC. This technique avoids all intermediate analog stages for down-conversion of the signal between the coil element and the analog to digital converter (ADC).

moving from analog to digital broadband

The overall result is a simplified receiving architecture, with few components, low power consumption, high SNR and dynamic range, and enhanced signal and phase stability.

analog digital infographic 5

Digitization takes place in the coil itself. ADC electronics have been miniaturized and placed within the coil. 

One fiber-optic cable for any number of RF channels replaces multiple coaxial cables and retains image quality. The number of RF channels is no longer a system specification.

dStream receive

dstream receive

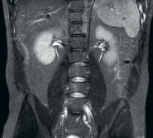
Result: Improved SNR and image resolution

Other RF receive

other receive

Result: Noisy images using identical scan parameters

dStream advantages

Increased consistency and enhanced image quality

dStream RF receive technology digitizes the MR signal directly in the RF coil, resulting in an increase of up to 40% more SNR* throughout the whole image volume.

 

Simplified workflow and improved throughput

Posterior coil integrated into the tabletop eliminates coil handling in 60% of exams. Lightweight conforming anterior coils and singlehanded, single cable coil connections add to operational ease.

advantages 1 new
advantages 2 new

Less upgrade complexity with channel independence

There is no need for upgrading system RF receive channels to keep up with advances in coil technology.

 

Future-proof architecture

Expansion of clinical capabilities can be achieved without major system overhauls, resulting in lower lifecycle costs and improved value.

SmartPath to dStream

While dStream is an integral part of all new Ingenia MR systems, owners of installed system can benefit. SmartPath to dStream is a cost-effective path to digital broadband MR and is available for:

 

• Intera 1.5T                 • Achieva 3.0T / 3.0T TX

• Achieva 1.5T / XR

Learn more

smartpath to new
video thumbnail image

dStream architecture


A visual explanation of dStream architecture.

Customer video


Hennepin County Medical Center (HCMC) operates a state of the art MRI facility using the Ingenia 1.5T Philips MRI scanner, with dStream technology.*

 

*Up to 40% more SNR compared to Achieva as non-digital/dStream system

You are about to visit a Philips global content page

Continue

You are about to visit a Philips global content page

Continue

Our site can best be viewed with the latest version of Microsoft Edge, Google Chrome or Firefox.